Пн-сб: 10:00—20:00; вс: 12:00—20:00 по предварительной записи
whatsapp telegram vkontakte email

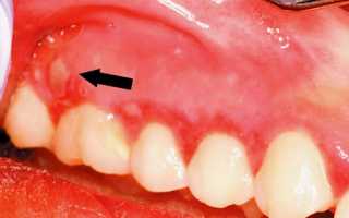
Белый прыщ на десне

image

Как правило, в большинстве случаев прыщи на десне не представляют собой серьезной угрозы для здоровья человека и являются лишь проявлением аллергической реакции или обычным жировиком. Но подобные образования следует отличать от других, например, от свищей и гнойников.

Конечно, определять точную причину появления прыщей в ротовой полости, в том числе и на деснах, должен только врач. Поэтому при обнаружении любого подозрительного уплотнения или шишечки различного размера и цвета, необходимо обращаться к квалифицированному специалисту.

Устанавливать причину и ставить себе диагнозы самостоятельно не следует. Врач при осмотре ротовой полости обязательно учитывает не только внешний вид и особенности появившегося прыща, но и общее состояние полости рта, зубов, слизистой, поверхности языка и множество других важных моментов.

Чаще всего белый прыщ на десне представляет собой:

  • Жировую липому, обнаружить которую можно на любом участке тела, в том числе и в ротовой полости. В этом случае у основания зуба на десне наблюдается прыщ желтоватого или белого цвета, представляющий собой бугорок разного размера. Такое образование не причиняет человеку боли, не реагирует на перепады температуры и не создает угрозы для здоровья, поскольку является доброкачественным. Но, тем не менее, жировики необходимо контролировать и своевременно удалять. Если липома начинает увеличиваться в размерах, может нарушиться рост зубов из-за возрастающего давления на их корни.
  • Гнойник, представляющий собой капсулу с содержанием гноя. Именно эта причина появления прыщей на деснах считается наиболее распространенной. Очень часто этот процесс протекает в острой форме и причиняет человеку серьезный дискомфорт. Как правило, в этом случае десна болит, опухает, появляются многие признаки воспалительного процесса. При этом боль значительно усиливается при разговоре, изменении температуры, пережевывании пищи. В данном случае требуется проведение адекватной терапии с применением антисептических средств и антибиотиков. Лечение должно проводиться под контролем врача.
  • Высыпания герпеса. Прыщи этого типа относятся к категории серьезных заболеваний, способных давать осложнения, в том числе и на внутренние органы. Как правило, появление высыпаний герпеса указывает на ослабление иммунной системы и снижение защитных функций организма. Такие высыпания обычно сопровождаются сильным воспалением, жжением, зудом.
  • Стоматит, возбудителем которого в большинстве случаев являются грибки рода кандида. Чаще всего прыщи на деснах по этой причине появляются у детей разных возрастов. Поверхность ротовой полости при стоматите покрывается белой пленкой из плотного налета и болезненными прыщами, которые при повреждении становятся открытыми язвочками. Такое заболевание сопровождается общим недомоганием, слабостью, ломотой в мышцах и суставах.

image

Важно помнить о том, что любой тип прыщей на деснах нуждается в обязательной консультации и помощи специалиста. Такой подход позволяет избежать появления многих проблем и осложнений.

Однако очень часто люди осознанно откладывают визит к дантисту, испытывая обычный страх, в итоге запускают заболевание, переводя его в более серьезную форму. Невылеченные вовремя пародонтоз или кариес, белые прыщи на десне любой этиологии, и прочие недуги полости рта нередко приводят к появлению серьезных осложнений. Кариес, как и разрушенные коронки или выпавшие пломбы, открывают патогенным микроорганизмам практически свободный доступ к корням зубов, где они накапливаются, размножаются и находятся в состоянии своеобразного ожидания.

В подобной ситуации достаточно небольшого падения иммунитета, например, по причине самой обычной простуды, чтобы в пародонтальном слое, в глубоких тканях начался активный воспалительный процесс, приводящий к появлению свищей на деснах.

Определить, что белый прыщ на десне является свищом, можно по некоторым признакам, в частности:

  • Такой прыщ имеет не только округлую форму, но и достаточно большие размеры;
  • Располагается прыщ на десне у зуба;
  • Слизистая вокруг свища обычно красная с явными признаками активного воспалительного процесса;
  • В средней части элемента происходит скопление гноя, имеющего желтый или белый цвет;
  • Присутствует постоянная боль пульсирующего характера, имеющая разную интенсивность и усиливающаяся до острой при употреблении горячих напитков.

Чаще всего свищ становится следствием запущенности инфекционных заболеваний ротовой полости, гингивита, кариеса. Нередко такие прыщи на десне появляются и при прорезывании зубов мудрости, например, в том случае, когда процесс протекает очень тяжело. Также свищи достаточно часто становятся следствием нарыва корней зубов.

Обострение такого воспаления обычно происходит при сбое иммунной системы, вызвать который могут заболевания простудного характера, патологии эндокринной системы, а также лечение различных недугов с помощью антибиотиков или проведения процедур химиотерапии.

Часто с такими образованиями сталкиваются курильщики, поскольку слизистые ротовой полости пересыхают из-за табачного дыма, имеющего достаточно высокую температуру.

Важно помнить о том, что даже если при появлении прыща на десне человек не ощущает боли и дискомфорта, оставлять это образование без внимания нельзя, и приступать к адекватному лечению  нужно сразу же. Если не устранить очаг воспаления и не прекратить его развитие, то образующийся гной может проникнуть во внутренние органы, что нарушит их функционирование. Гной достаточно легко проникает в кровоток, с которым разносится по всему организму. Нередко именно по этой причине у человека появляются нарушения в работе почек, сердца и легких.

По этой причине особенно тщательно нужно следить за состоянием ротовой полости детей, не допуская запущенности различных проблем и заболеваний. Очень важно приучить детей с ранних лет регулярно посещать стоматолога для проведения профилактических осмотров, а при необходимости и лечения.

image

Не следует заниматься самостоятельной терапией при появлении любых прыщей во рту на десне, не установив их действительную причину. Ни в коем случае нельзя выдавливать такие прыщи, прокалывать их или повреждать иными способами. Проводить такую процедуру при необходимости должен только квалифицированный специалист. Не следует также применять и разнообразные медикаментозные средства без специального назначения врача, так как препараты могут оказаться неадекватными состоянию и определенному заболеванию, и в итоге причинить еще больший вред, значительно осложнив ситуацию. Для облегчения состояния, в том случае если прыщ доставляет дискомфорт или причиняет боль, можно пользоваться только универсальными народными методами, например, полоскать рот отваром лекарственных трав с противовоспалительным эффектом, в частности, цветков ромашки или календулы.

Ссылка на основную публикацию
Похожее